Le snus : le produit qui détruit les gencives des jeunes valaisans
Autorisé en Suisse à partir de 2019, le snus est vite devenu populaire auprès des jeunes. Si les puffs viennent d'être interdites en Valais, qu'en est-il de ce produit qui se vend comme l'alternative à la cigarette ?

Les produits nicotiniques se vendent comme des petits pains dans nos kiosques. Si les puffs viennent d'être interdites, il y en a d'autres qui cartonnent, parmi eux, le snus. Il s'agit d'un produit conditionné dans des sachets perméables, qui se glisse sous la lèvre. Discret à l'utilisation, indolore une fois en bouche et ne créant pas de fumée, il plaît autant qu'il inquiète. Pour les politiques qui sortent tout juste d'un combat pour interdire les puffs, la question n'est pas encore sur la table.
Il faut se rappeler que l'autorisation d'en vendre dans notre pays n'est pas si vieille, cinq ans pour être exact. D'ailleurs, en Europe, la Suisse fait un peu figure d'exception, la quasi-totalité des pays interdisant la vente du produit sur leur sol.
Cependant, pour certains parlementaires valaisans, le tabac est une préoccupation. Déjà engagé dans le combat contre les puffs, Françoise Métrailler, élue du Centre au Grand Conseil, est de ceux-là. Si pour le moment le snus n'est pas une de ses priorités, elle affirme que le phénomène l'inquiète. Elle se dit prête à prendre le sujet à bras le corps.
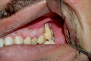
Comprendre les effets
Se glissant sous les gencives, le snus qui est en grande partie composé de nicotine, a un effet stimulant sur le corps. Le snus donne aussi du plaisir et procure la sensation de sécurité. Le problème est, qu'il abîme dangereusement les gencives. À force de prendre le produit, la gencive se résorbe et la bouche peut s'enflammer. Le tout créant une apoptose, plus simplement expliquée, un suicide cellulaire.
Stratégie de vente
La stratégie est simple, devenir la référence comme substitut à la cigarette. Pour cela trois gammes de produits existent. Le premier avec tabac et avec nicotine, le deuxième sans tabac, mais avec de la nicotine et le dernier sans tabac et sans nicotine (un point sur lequel nous reviendrons plus tard). Pour ne vendre le maximum, le paquet est mis sur le visuel qui se veut coloré et dynamique. De plus, il se décline en une centaine d'arômes qui rendent le produit attractif. Mais là où il séduit le plus les consommateurs, c'est dans sa capacité à être totalement invisible. Se détachant ainsi du regard des autres, le snus peut être consommé en tout lieu et en tout temps. Que ce soit au travail en pleine séance de direction, à l'intérieur lors d'un cours ou après une séance de sport en extérieur, le snus est passe-partout et ne dérange pas son voisin.
Pour Nicolas Donzé, toxicologue à l'ICH Hôpital du Valais, si le snus se veut moins nocif que la cigarette, ce n'est pour autant, pas forcément une bonne chose. Car, consommé du snus, amène à un comportement addictif qui est compliqué à combattre par la suite.
L'un des arguments massue des vendeurs de snus réside dans la proposition de sachets sans tabac. Certaines marques proposent aussi du snus sans tabac et sans nicotine (difficilement trouvable en kiosque). Pour Nicolas Donzé, ce n'est qu'un leurre, car il ne faut pas oublier que la nicotine est dangereuse dans ce produit. Pour ce qui est des snus proposés sans nicotine et sans tabac, il émet de gros doute sur les ingrédients utilisés pour la confection de ce produit. "Le vrai combat est de se libérer d'un comportement et non de la substance", précise Nicolas Donzé.
Comme avec les puffs, le snus vise les jeunes pour faire son marché. Ainsi, l'industrie du tabac mise beaucoup sur la naïveté de la jeune génération pour populariser son produit. Il n'est pas impossible de voir de jeunes élèves du cycle consommer de manière régulière du snus.
Le témoignage d'Armand ex-addict
Armand est un prénom d'emprunt, la personne en question n'ayant pas voulu que son identité soit dévoilée.
Quand avez-vous commencé à consommer du snus ?
Armand : Alors, c'est tout simple, tous mes collègues en prenaient, j'ai souvent vu des boîtes. Je me suis dit j'en prends une, j'ai bien aimé, alors j'en ai pris une deuxième et finalement, j'en ai pris 300…
C'était à quel âge ?
Armand : À 15-16 ans, à la sortie du cycle.
Quelle était votre consommation de snus quotidienne ?
Armand : Au début, c'était un à deux snus par jour. À la fin, j'étais à une boîte les jours de semaine et quand je faisais la fête le weekend, je pouvais facilement en prendre deux.
Comment avez-vous procédé pour arrêter et surtout pourquoi avez-vous arrêté ?
Armand : J'avais une quarantaine de boîtes dans le frigo. Un jour, je me suis dit, j'arrête, j'ai plus besoin de ça. Alors, j'ai fini quand même les 40 boîtes, car cela coûte tout de même un petit peu. Puis je n'ai plus jamais repris.
Ç'a été simple ou il y avait toujours une envie derrière ?
Armand : C'est assez simple, après, l'envie, j'en ai toujours et je pense que je l'aurai toujours. Je n'y pense pas tous les jours, mais pas loin.
Quelques pistes pour arrêter
Le toxicologue Nicolas Donzé explore quelques pistes pour se sortir de l'addiction au snus.